親知らず親知らずの抜歯

親知らずとは、20歳前後で一番奥にはえてくる歯のことで「親の知らない間にはえてくる歯」という意味で「親知らず」とう通称がつけられているようです。また、平均寿命の短かった時代に、「はえてくる頃には親はいない」という意味から「親知らず」という通称がつけられたという説もあるそうです。

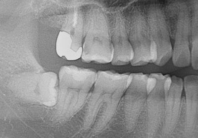
現代人は顎が小さくなっている傾向にあり、スペースが足りずにまっすぐにはえることができない親知らずが増えています。頭の半分しか出ていなかったり(半埋伏歯)、横向きにはえていたり(水平埋伏歯)、歯の形やはえ方に個人差があります。一番奥にあるため、歯磨きがうまくできずに汚れがたまることが原因となって、腫れや、痛みなどの炎症症状が出る場合もよくあります。腫れや痛みを繰り返したり、隣りの歯や咬み合わせに影響を及ぼす場合には、抜歯したほうが良いケースもあります。

当院では親知らずの形、はえ方、神経との位置関係を正確に把握するため、必要に応じて3D画像(歯科用CT)を撮影し、安全に抜歯処置を行っております。親知らずに関してお悩みの方は是非ご相談ください。

水平埋伏歯3D像
水平埋伏歯3D像
水平埋伏歯レントゲン像
水平埋伏歯レントゲン像